オリーブ歯科・矯正歯科

症例集

インビザライン症例

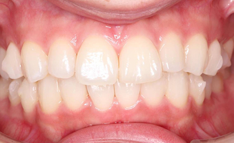
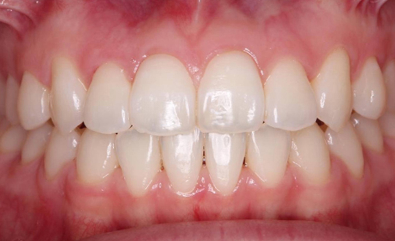
Case. 01(20代女性)

主訴 上顎の歯並びが気になる
治療内容 インビザラインフル+ホワイトニング併用
治療費 インビザライン:450,000円(税込495,000円)
ホワイトニング:5,000円(税込5,500円)
治療期間 約1年6ヶ月
治療後のリスク 動的治療後、保定装置を決められた期間確実に装着しなかったりした場合に後戻りが考えられます。

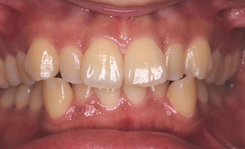
Case. 02(20代女性)

主訴 前歯(出っ歯)が出ているのが気になる
治療内容 インビザラインフル
治療費 インビザライン:450,000円(税込495,000円)
治療期間 約2年3ヶ月
治療後のリスク 動的治療後、保定装置を決められた期間確実に装着しなかったりした場合に後戻りが考えられます。

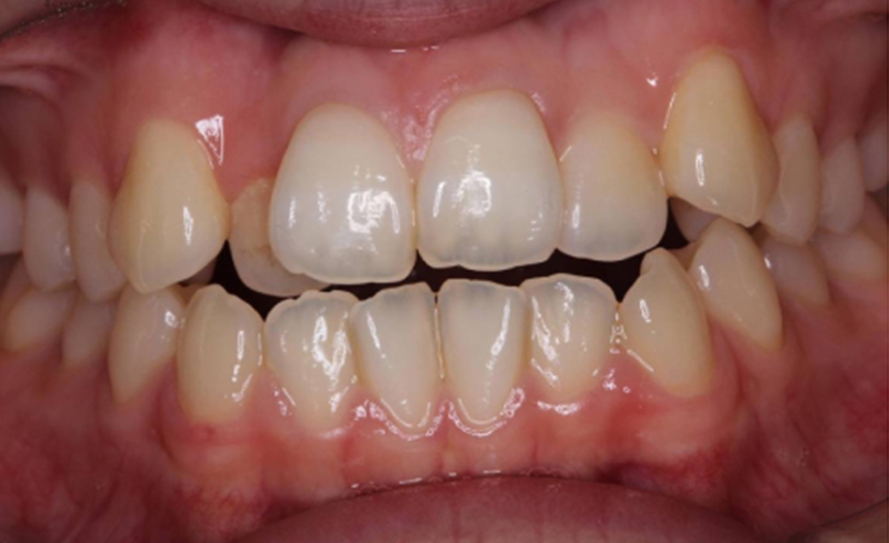
Case. 03(20代女性)

主訴 ガタガタの歯並びが気になる
治療内容 インビザラインフル+ホワイトニング併用
治療費 インビザライン:450,000円(税込495,000円)
ホワイトニング:5,000円(税込5,500円)
治療期間 約1年10ヶ月
治療後のリスク 動的治療後、保定装置を決められた期間確実に装着しなかったりした場合に後戻りが考えられます。